Current Research

HIF-2 signaling is activated by environmental stress associated with oxygen or glucose deprivation, which is mediated by the downstream effects of Acss2, an acetate-dependent acetyl CoA generator. We discovered that Acss2, a predominantly cytosolic protein, mediates nuclear signaling by translocating or enriching in the nucleus following oxygen or glucose deprivation. We are actively engaged in discerning how Acss2 regulates its subcellular location, which impacts its nuclear role in HIF-2 signaling, as well as determining what physiological roles Acss2 regulates in mammals.

Defining the mechanistic basis and regulatory role for nuclear Acss2 in stress signaling

This figure reveals the subcellular localization of ectopic wild-type and mutant Acss2 expressed in mammalian cells using immunofluorescence microscopy and Hoechst-staining to detect nuclei. In panel (A), wild-type Acss2 is found mainly in the nucleus. In panel (B), a mutant Acss2 is expressed equally in the cytosol and nucleus. In panel (C), a second mutant Acss2 is restricted to the cytosol.

Our current studies include identifying the molecular basis for Acss2/HIF-2 stress signaling. Using a biased as well as unbiased approach with cell culture models, we are defining regulatory elements in Acss2 that impact its ability to signal to HIF-2. With this structure-function based approach, we have identified regions of the Acss2 protein that regulate its activity and subcellular localization. We are particularly interested in dissecting the nuclear regulatory role of Acss2-mediated acetyl CoA generation from its cytosolic role. Since nuclear acetylation targets for Acss2 include histone as well as non-histone proteins, we expect that these studies will be of broad interest from an epigenetic as well as genetic viewpoint including regarding its participation in HIF-2 signaling. Our approach to understand how Acss2 functions in these cell culture models includes use of CRISPR/Cas9 gene editing, lentiviral gene rescue, confocal imaging, and omic studies in addition to standard molecular and protein assays.

Ascertaining relevance of in vitro Acss2 structure-function findings in mouse physiology

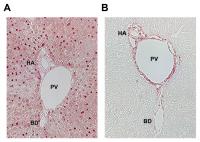
This figure demonstrates the localization of Acss2 in wild-type and mutant mouse livers using light microscopy and immunohistochemical techniques. In panel (A), wild-type Acss2 is expressed throughout the liver of a normal mouse and shows prominent staining in the nuclei of hepatocytes. In panel (B), replacement of wild-type Acss2 with a mutant Acss2 in mice using CRISPR/Cas9 targeting results in marked instability of Acss2 protein in the liver and only residual immunohistochemical staining in cells surrounding the hepatic artery (HA), portal vein (PV), and bile duct (BD).

We have developed more than a dozen novel CRISPR/Cas9 mouse strains with mutations of residues implicated in Acss2 function, based upon our studies or other reports, to ascertain whether these changes affect endogenous Acss2 form and function in mice. Using mouse models of anemia and metabolic disease, we are addressing how these knock-in mutations affect physiological function and response of mice under resting conditions as well as under pathophysiological stress conditions. These mouse models provide not just a platform for whole animal studies, but also a source of primary cells for study in advanced cell culture models, which afford us additional opportunities to gain insight into Acss2 biology. 

 

Defining tissue-specific roles for Acss2/HIF-2 signaling in mouse physiology

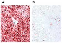
This figure demonstrates that Acss2 is efficiently ablated in mice using Cre-lox conditional knockout technology. The immunohistochemical microscopic images are obtained from liver of a pre-conditional (floxed) mouse in panel (A), which has prominent Acss2 expression visible in all hepatocytes, and from liver of a conditional knockout mouse following deletion of multiple exons for Acss2 in hepatocytes in panel (B), which results in near complete ablation of Acss2 throughout liver.

We continue to define the role of Acss2 in Epo regulation and other physiological processes regulated by the Acss2/HIF-2 signal transduction axis. Our latest mouse model projects include conditional knockout models of Acss2, which allow us to define cell- and tissue-specific roles for Acss2 in mouse physiology. This is a particularly powerful tool for defining organ-organ interactions and for comparing the effects of perinatal versus postnatal ablation of Acss2 on defined phenotypes. As with the CRISPR/Cas9 knockin mouse models, we are addressing how tissue-restricted ablation of Acss2 affects normal physiological function as well as abnormal pathophysiological responses in models of anemia and metabolic disease. These studies leverage specialized equipment and core facilities at Columbia University Irving Medical Center and James J. Peters VAMC available to our research operations.